Ecografia y EPI contra las tendinitis
Con varios años de experiencia en el uso de EPI, y por peticion de nuestros pacientes ante los buenos resultados en tendinopatipias, esguinces de tobillo y rotura fibrilar os vamos a explicar en que consiste la técnica EPI, una de las técnica que mejores resultados ha demostrado en este tipo de lesiones ya que es la única que cambia la estructura del tejido en el momento favoreciendo un tiempo de recuperación es más corto evitando recaídas, respetando las fases de inflamación y recuperación.
La técnica nace del continuo estudio mediante ecografía musculo-esquelética y aplicación de corriente galvánica (electroterapia) en las zonas degeneradas del músculo, Nacida de las manos del Fisioterapeuta Jose Manuel Sánchez, buscando la respuesta a este comportamiento patológico de los tendones, ayudando al deportista a poder volver a la competición lo más seguro y controlado posible.
La Electrolisis Percutánea Intratisular (EPI) salva a mucha gente de pasar por el quirófano. Jordi Reig
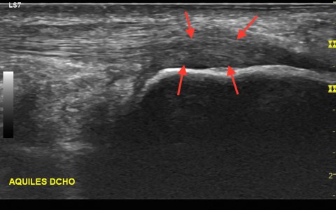
La técnica EPI® consiste en un primer lugar en realizar una recogida de datos del deportista e historia de su lesión, mediante ecografía músculo-esquelética se realizará un estudio para ver el origen de la lesión, diferenciando ensopatías, tendinopatias, fibrosis y roturas musculares. Creando un protocolo personal con diferentes técnicas y ejercicios dirigidos por un Fisioterapeuta . En muchas ocasiones el ejercicio debe ser corregido mediante vendaje, tipo MaCconnell para la corrección de la alineación rotuliana, y aminorar el dolor.
La aplicación de la técnica EPI, consistirá pues en una aplicación de un tipo concreto de electroterapia Galvánica continua con un aguja mediante control eco-guiado para producir una respuesta inflamatoria del tejido degenerado e inducir a su proceso de reparación fisiológico, favoreciendo así la reparación del tejido blando afectado. Ya en 1996, Balcavage et al. observaron que la corriente eléctrica inducida en el tejido a frecuencias bajas (50-60 Hz) tiene un efecto directo sobre la membrana celular.
La EPI® hace que el tejido degenerado sea destruido sin que las células normales se vean afectadas ya que presentan una resistencia mucho mayor al paso de corriente:
-
Zona de tendinosis :entre 200 a 250 ohmios.
-
Tendón normal :por encima de 800 ohmios.(10)
La aplicación de EPI® en el tejido degenerado produce en las células unos valores del pH elevados,que de esta manera el tejido es destruido,sin que las células normales se vean afectadas.Este tejido destruido es metabolizado por el propio organismo a través de la fagocitosis inducida.
Esta técnica requiere unos conocimientos previos en ecográfica muscular, fisioterapia invasiva y fisioterapia deportiva. Exigir siempre estar en buenas manos, pidiendo siempre información al profesional. La técnica Electrolisis Percutánea Intratisular (EPI) está desde hace más de diez años y hasta la fecha en continua evolución científica en el departamento de I+D
BIBLIOGRAFÍA
-
Sharma P, Maffulli N. Biology of tendon injury: healding, modeling and remodeling. J Musculoskelet Interact. 2006; 6.
-
Anatomía del tendón; http://www.rehabilitacionpremiummadrid.com/blog/juan-mitjavila/anatom%C3%AD-del-tend%C3%B3n.
-
Letho Mu, Jan Vinen. Muscle injuries, their healing process and treatment. 1991; 80(2): 102-108. Pubmed: 8446826 Apuntes Cerede SportsMedicine Formación.
-
Bases y fundamentos de la técnica EPI. 2014 – CEREDE SPORTS MEDICINE.
-
Young MA, Cook JL, Purdam CR, Kiss ZS, Alfredson H. Eccentric decline squat protocol offers superior results at 12 months compared with traditional eccentric protocol for patellar tendinophathy in volleyball players. 2005; 39 (2): 102-5.
-
Efisioterapia.net
-
Khan KM, Cook JL, Bonar F, Harcourt P, Astrom M. Histopathology of common tendinopathies. Update and implications for clinical managent. Sport Med. 1999; 24: 393-408.
-
Balcavage WX, Alvager T, Swez J, Goff MT, Abdullyava S, King MW. A mechanism for action of extremely low frequency electromagnetic fields on biological systems. Biochem Biophys Res Commun. 1996; 15:222 (2): 374-8.
-
Cook JL, Khan KM. What is the most appropriate treatment for patellar tendinophaty?. Br J Sports Med. 2001; 35: 291-4.
-
https://www.youtube.com/watch?v=15W-mWmkWs8#t=74 FUENTE; http://www.fisiojreig.com/
-
Sánchez-Ibáñez,JM.(2008); Tendinopatía de aquiles en un futbolista de de la lfp. Tratamiento acelerado mediante electrólisis percutánea intratisular (EPI®) ecoguiada. Publicación digital en www.efisioterapia.net
-
Abat F, Gelber PE, Polidori F, Monllau JC, Sanchez-Ibañez JM. Clinical results after ultrasound-guided intratissue percutaneous electrolysis (EPI®) and eccentric exercise in the treatment of patellar tendinopathy. Knee Surg Sports Traumatol Arthrosc.2015 Apr;23(4):1046-52
Galería de imágenes
https://www.fisioterapiabenahadux.com/blog/item/53-ecografia-y-epi-contra-las-tendinitis#sigProGalleriad5475987d8
 02.49.23.jpg)
 02.49.23.png)













